中枢神经系统肿瘤是指起源于中枢神经系统内的组织或结构的一组良恶性疾病,而脑膜瘤是一种起源于蛛网膜细胞的肿瘤,在所有颅内肿瘤中,其发病率仅次于神经上皮肿瘤居于第二位。本期,我们将根据《Immunohistochemistry in Tumor Di-agnostics》一书章节内容的编译,对中枢神经系统肿瘤和脑膜瘤诊断免疫组化指标进行梳理和介绍。
中枢神经系统肿瘤免疫组化概述
中枢神经系统肿瘤类型繁杂、分化不一,诊断中常用免疫组化指标有GFAP、MAP2、NeuN、Olig-2、NF、Syn、广谱CK、Ki-67。表1. 星形细胞肿瘤免疫组化

(点击可查看大图)
备注:
主要见于上皮样型胶质母细胞瘤。

(点击可查看大图)
表3. 脉络丛肿瘤及松果体区肿瘤免疫组化

(点击可查看大图)
表4. 神经元肿瘤及混合性神经元-胶质肿瘤免疫组化

(点击可查看大图)
表5. 胚胎性肿瘤免疫组化

(点击可查看大图)
阳性表达模式:细胞质
推荐阳性质控组织:脑组织
神经胶质纤维酸性蛋白(glial fibrillary acidic protein,GFAP)是一种III型中间丝蛋白,主要表达于星形胶质细胞和室管膜细胞在内的神经胶质;因此这一指标是肿瘤性神经胶质细胞、具有神经胶质分化肿瘤的标记,神经鞘瘤及神经母细胞瘤中也可有较低水平表达。临床实践中,GFAP是脑部原发肿瘤和转移性肿瘤鉴别的重要标记。不过该指标在施万细胞、副神经节细胞、肠神经胶质细胞(enteric glial cell)、肝脏Kupffer细胞、骨细胞、软骨细胞、肌上皮细胞也有较低水平表达,因此阳性表达还可见于非胶质性肿瘤,如肌上皮瘤、不同类型涎腺肿瘤中的肌上皮成分、骨肉瘤、软骨肉瘤、血管肉瘤。微管相关蛋白2(microtubule-associated protein 2,MAP2)是微管相关蛋白家族五个成员之一。该蛋白是一种神经元特异性细胞骨架蛋白,具有a、b、c三种异构体,表达于神经元和反应性星形胶质细胞。MAP2标记的是神经元细胞胞体的胞质成分和基底处的树状突,被认为是神经元分化的早期标志。临床实践工作中,MAP2用作神经元分化的标记,阳性着色可见于神经胶质肿瘤、髓母细胞瘤、神经母细胞瘤、肺部神经内分泌肿瘤、部分恶性黑色素瘤、某些癌(主要是甲状腺癌和前列腺癌)。
神经元核抗原(Neuronal Nuclear Antigen,NeuN)又称为FOX-3蛋白,是一种低分子量的蛋白,位于中枢神经系统、外周神经系统大部分神经元细胞以及这类细胞来源肿瘤的胞核和胞质,因此NeuN是中枢神经细胞瘤、神经节胶质细胞瘤的标记。中枢神经系统的原始神经外胚层肿瘤(primitive neuroectodermal tumor,PNET)、髓母细胞瘤中大部分也为NeuN阳性。星形细胞肿瘤、少突胶质细胞肿瘤中NeuN阳性的比例不足5%。
少突胶质细胞系转录因子2(Oligodendrocyte Lineage Transcription Factor 2,Oligo-2)是一种与神经外胚层祖细胞调节、少突胶质细胞和单核神经元发育有关的转录因子。正常情况下,Oligo-2强阳性表达于少突胶质细胞和少突胶质瘤;包括胶质母细胞瘤在内的其他胶质瘤中也可见弱至中等程度阳性。还有报道称Oligo-2表达可见于神经内分泌癌、少部分中枢神经细胞瘤和幕上室管膜瘤。
脑膜肿瘤诊断常用免疫组化
脑膜肿瘤诊断常用免疫组化指标有S100、D2-40、Nestin、claudin-1、广谱CK、EMA、CEA、Vimentin、Ki-67。
表6. 脑膜瘤免疫组化

(点击可查看大图)
备注:
是分泌性脑膜瘤的特征;
是纤维型脑膜瘤的特征。
脑膜肿瘤的特征是EMA、广谱CK、S100的共表达。其他标记如D2-40主要用于侵袭性肿瘤类型的诊断,如非典型脑膜瘤、间变性脑膜瘤。Ki-67增殖指数的评估对于肿瘤分级的判定非常关键。CEA表达是分泌型脑膜瘤中假砂粒体的特征。
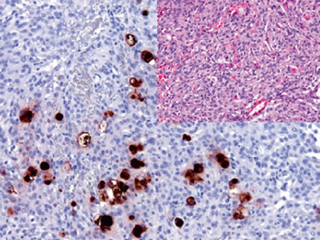
图1. 间变性脑膜瘤中,D2-40呈强阳性表达。

图2. 分泌性脑膜瘤中,CEA阳性的假砂粒体。
迈迈推荐:“诊断级抗体的研发非一日之功,需经过高通量筛选和多维度的评估等多重考验,本期迈迈推荐以下抗体,助您轻松做诊断!”
抗体名称 | 克隆号 | 阳性对照 | 细胞定位 |
GFAP*
| MX047 | 脑胶质瘤、阑尾
| 胞质 |
NeuN
| A60 | 胶质瘤
| 胞核 |
Oligo-2 | EP112 | 胶质瘤
| 胞核 |
更多信息,请详询:800-8581156或400-889-9853