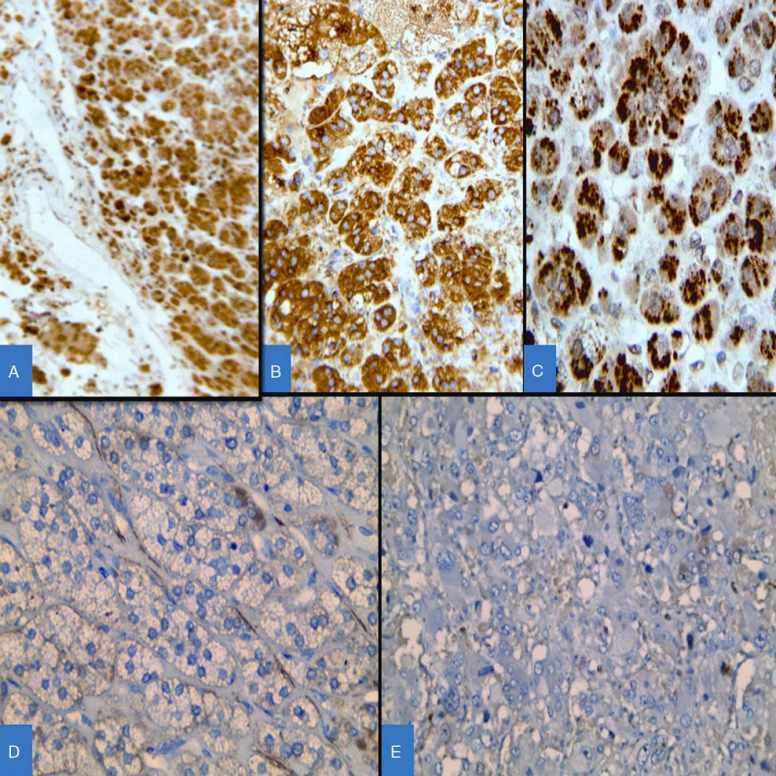
肾上腺皮质瘤与嗜铬细胞瘤是肾上腺最常见的原发性肿瘤,二者在形态学上有一些 相似的特征,例如均有较完整的包膜,瘤细胞都可以排列成巢状、束状或小梁状,当组织学形态不典型时两者很难鉴别,因此,寻找有效鉴别两者的分子标记物非常有意义。Inhibin α 是一种二聚体蛋白质激素,其中 Inhibin α 亚单位仅一种分子结构,是转化生长因子β超家族中的成员,相对分子质量为18000,位于人染色体 2q33。由睾丸的 Sertoli 细胞和卵巢粒层细胞产生,能抑制垂体促性腺激素的产生和分泌,多用于性索间质肿瘤的诊断。但随着临床研究的不断深入, 发现 Inhibin α 可顺利获得影响类固醇生成及细胞凋亡, 与骨形态生成蛋白相互作用, 调节醛固酮的生成, 从而参与肾上腺皮质肿瘤的发生,是肾上腺皮质肿瘤发生的抑制因子,可用于肾上腺肿瘤的诊断与鉴别诊断。 Elmoneim H等人在早期的研究中,采用免疫组织化学方法检测47例肾上腺组织标本中Inhibin α的表达,发现Inhibin α在所有的增生性肾上腺样本、90.9%的皮质腺瘤及83.3%的肾上腺皮质癌,中均呈阳性免疫反应,但与此相反,Inhibin α在良性和恶性嗜铬细胞瘤中的阴性表达率分别为85%和80%(p=0.001)如图1所示,这表明Inhibin α在肾上腺肿瘤中具有诊断作用,可区分肾上腺皮质肿瘤和肾上腺髓质肿瘤。
图1.Inhibin α在不同肾上腺组织中的表达(A:肾上腺增生:阳性;B:肾上腺皮质腺瘤:阳性;C:肾上腺皮质癌:阳性;D-E:良性与恶性肾上腺嗜铬细胞瘤)
李峰等人的收集了确诊的 70 例肾上腺皮质腺瘤和 57 例肾上腺嗜铬细胞瘤病例的组织进行IHC研究,结果表明,inhibin α 在肾上腺皮质腺瘤中的阳性率为91.4% ( 64 /70) ,且 64 例均呈(++)-(+++) ,比 melan A 更为敏感,而在肾上腺嗜铬细胞瘤中均呈阴性表达(-) ,这与早期的文献报道相一致,表明,Inhibin α在肾上腺肿瘤中可用于皮质瘤与嗜铬细胞瘤的鉴别诊断。侯卫华等人收集了肾上腺手术存档的30例肾上腺皮质瘤、4例肾上腺皮质结节状增生、30例良性肾上腺嗜铬细胞瘤和8例正常肾上腺样本,进行IHC研究,发现在肾上腺皮质瘤和肾上腺嗜铬细胞瘤的鉴别诊断中,Inhibin α的敏感性和准确性均高于Calretinin和Melan-A,分别为83.3%和88.3%,阳性表达呈中等强度,在肾上腺皮质结节状增生和正常肾上腺组织中表达率为100%,而在肾上腺嗜铬细胞瘤中阳性率仅为 6.7% 。该研究显示 Inhibin α 与患者年龄、性别、肿瘤大小以及肾上腺皮质瘤的功能状态无关,但基因遗传学的研究表明,Inhibin 基因 R337H TP53 突变造成Inhibin α 的异常表达可能是儿童发生肾上腺皮质肿瘤的因素之一。霍亚杰等人收集了62 例手术存档肾上腺标本,其中包括28例肾上腺皮质瘤样本,IHC的研究结果发现Inhibin α在肾上腺皮质瘤诊断中的敏感性、特异性和准确度分别为85.74%(24/28)、96.43%(27/28) 、91.07%(51/56),其中敏感性与准确性均高于Calretinin和A103,特异性与A103一致,这与侯卫华等人的研究结果相一致,因此,当遇见不典型病例或鉴别诊断有困难时,Inhibin α 的表达具有重要参考价值,有助于提高正确诊断率。综上所述,Inhibin α在肾上腺皮质瘤中的阳性表达和在肾上腺嗜铬细胞瘤中的阴性表达在肾上腺皮髓质瘤的诊断和鉴别诊断中具有重要的价值,inhibin α 阴性支持诊断为嗜铬细胞瘤,反之则支持诊断为肾上腺皮质瘤。| 抗体名称 | 产品编号 | 克隆号 | 细胞定位 | 
| Inhibin α | MAB-0891 | MX098 | 胞质 | 
参考文献:
[1]Elmoneim H , Samaka R M , Ali H . Diagnostic role of inhibin α-subunit and inhibin/activin β-subunit in adrenal cortical and medullary tumors in Egyptian patients.[J]. Appl Immunohistochem Mol Morphol, 2012, 20(5):462-469.
[2]李峰,陈小岩,陈新,等.Syn、CgA、melan A和inhibin α在肾上腺皮质腺瘤及嗜铬细胞瘤中的表达及意义[J].诊断病理学杂志,2014,21(08):501-504.
[3]侯卫华, 李从洋, 段尚林,等. 肾上腺皮质腺瘤组织中Calretinin,Melan-A和Inhibin α的表达及意义[J]. 肿瘤基础与临床,2017,30(1):15-19.
[4]霍亚杰, 康志强, 何丽,等. 抑制素α,A103,钙网膜蛋白联合检测在肾上腺皮质腺瘤与肾上腺良性嗜铬细胞瘤鉴别诊断中的应用价值.[J]. 实验与检验医学,2019,37(5):802-805.