NUT中线癌,其定义就是指存在NUT基因的重排,NUT基因位于15q14,与位于19p13.1的BRD4基因易位形成BRD4-NUT融合基因,是NUT中线癌特异性的分子遗传学改变。该肿瘤具有高度侵袭性,病程进展凶险,预后差,中位生存期极短。组织学表现为单型性、较原始的基底样、上皮样细胞至卵圆形细胞,细胞核轮廓不规则,染色质呈空泡状,可见显著程度不等的核仁。在实际病例中,容易与其他高度恶性肿瘤混淆,需注意鉴别其他的肿瘤、鳞状细胞癌、小圆细胞肉瘤等。因此,使用免疫组织化学和分子病理技术对标本进行特异性检测至关重要。中线癌是以位于15q14上编码NUT蛋白的基因发生染色体重排(又称NUTM1)为特征的一种肿瘤。这种重排常常导致NUT与19q13上的溴结构域蛋白4(BRD4)融合,形成t(15; 19)(q14; p13)核型。但是约有30%的中线癌缺乏BRD4重排,因此被称为”NUT变体”,即NUT与BRD3融合,或NUT与非BRD基因(如NSD3基因)融合。多研究表明BRD4-NUT可以顺利获得异常的组蛋白乙酰化来驱动肿瘤细胞的增长,并阻断上皮细胞分化。BRD4-NUT顺利获得嗅结构域与染色体结合,招募p300(一种组蛋白乙酰转移酶),使局部组蛋白乙酰化区域扩散。这些所谓的“超级域”将直接或间接(激活整个调控域,如:增强子等)地触发潜在基因的转录,强制使关键癌蛋白(如MYC、p63、MED24等)表达。
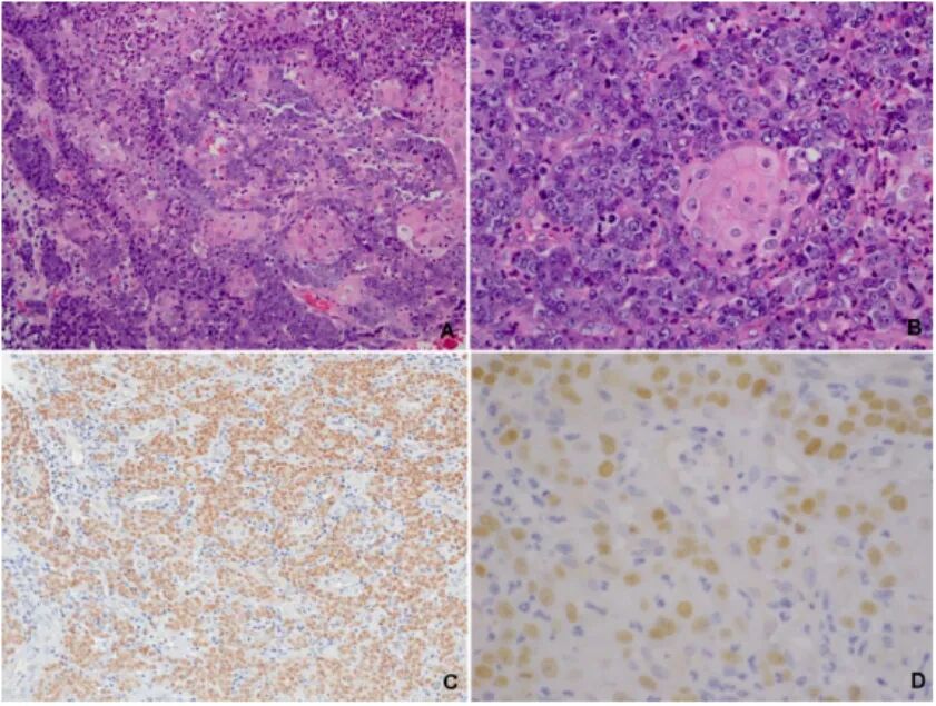
一名19岁具有大肠激躁症病史的白人男性出现半月的干咳、胸闷、咯血和呼吸困难症状入院,经X光显示右下叶肺和中叶肺不张伴有肿块,纵隔淋巴结肿大;支气管镜检查发现支气管中间有阻塞性外生菌状隆起物;组织活检显示侵袭性中低分化的角化型鳞状细胞癌,伴有侵袭性基底细胞癌样岛(图1A和B)。免疫组化p16INK4a阳性,Pax-8阴性,高风险HPV-RNA Fish结果阴性,进一步进行NUT免疫组化染色结果显示50%以上的肿瘤细胞有斑状核染色(图1C和D),结合临床最终诊断为4期NUT中线癌。
图1. 病例1组织学与免疫组化染色结果;A均匀中等大小的上皮样细胞,核仁明显(10×);B高倍放大中心角化灶(20×);C NUT免疫组化染色显示50%<肿瘤细胞呈弥漫性强阳性染色(20×);D高倍镜下显示斑点状核阳性(60×);
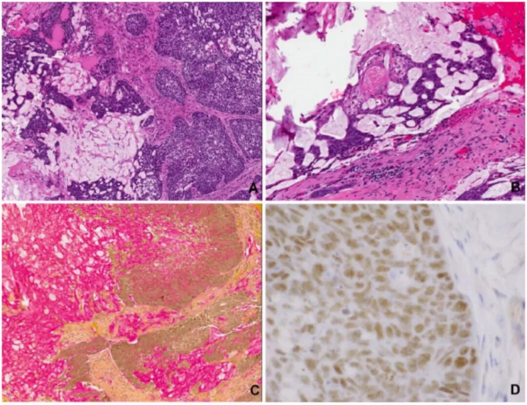
一位有帕金森病症和5年吸烟史的66岁男性因声门下肿块入住重症监护室,临床症状有心跳加速、头晕、呼吸困难、喘鸣、喉咙痛、吞咽困难、食欲减退、体重减轻10至20磅伴咯血和白细胞增多。术后组织活检发现粘液基质内有肿瘤细胞巢,呈松散筛状(图2A);细胞呈基底样,胞质减少,有丝分裂与凋亡增加并出现粉刺状坏死。局部,肿瘤与表面鳞状上皮相连,鳞状上皮异形增生,肿瘤内少量鳞状分化灶(图2B),未发现周围神经侵犯。免疫组化检测结果显示CK5/6、CEA、EMA、p63、p40和p16INK4a阳性;肌上皮标志物(calponin、S100、GFAP、SMMHC、SMA)、神经内分泌标志物(Syn、CgA)、CD34、CDX2均阴性。未见INI-1表达丢失。CD117局灶阳性。小巢、索状细胞和单细胞CK7和CK20呈阳性反应,但巢内未见明显的腔隙。粘液样物质在 ph 值2.5时呈黏蛋白胭脂红(图2C)和阿辛蓝阳性。50% 以上的肿瘤细胞显示NUT斑状核阳性(图2D)。Fish检测证实NUT基因在15q14处重排。
图2. 病例2组织学与免疫组化染色结果;A基底样和上皮样多边形细胞呈松散筛状巢(10×);B中心角化灶(20×);C 黏蛋白胭脂红染色(10×);D NUT呈斑点状核阳性(60×); 
两例病例中患者均有巨大的阻塞性外生肿块,位于中线位置并发生转移,这是NUT中线癌的特征。病例1顺利获得免疫组化检测结果证实,病例2经免疫组化和Fish检测证实,说明睾丸外NUT的表达与NUT中线癌高度相关。顺利获得以上病例可知NUT中线癌的免疫组化可不同程度表达CK、p63、p40、TTF-1、CD34、p16等这更使得诊断复杂化。因此结合临床、形态学表现,有必要进行NUT免疫组化检测。研究显示,中线癌的NUT阳性表达率应为≥50%的核阳性表达。NUT单克隆抗体(克隆号:C52B1)检测相比FISH检测来说,其敏感性可达87%,特异性100%。免疫组化检测NUT时,阳性定位于细胞核,为特征性的斑点状着色。组织学表现与其类似的肿瘤(如生殖细胞肿瘤)也可出现局灶弱阳性(60%以上的无性细胞瘤)。对于多个方面强烈提示NUT中线癌、但免疫组化结果阴性或不确定的病例,可顺利获得FISH检测NUT重排。| 抗体名称 | 产品编号 | 克隆号 | 细胞定位 | 
| NUT | RMA-1028 | C52B1 | 胞核 | 
参考文献:
[1] 贺新月, 石磊, 张子悦, 等. 原发性肺NUT中线癌的临床诊断及治疗[J]. 肿瘤防治研究, 2019, 46(11): 1040-1043.
[2] Rekha Reddy, Tina R. Woods, Robert W. Allan, et al. AsirvathamNUT (Nuclear Protein in Testis) Carcinoma: A Report of 2 Cases With Different Histopathologic Features.International Journal of Surgical Pathology ( IF 1.271 ) Pub Date : 2018-08-27 , DOI: 10.1177/106689691-8796606
[3] Juneja, M., Solomon, B., & Hanna, G. G. (2021). Nuclear protein in testis carcinoma: a diagnostic and therapeutic challenge. Internal Medicine Journal, 51(7), 1191–1192. doi:10.1111/imj.15414