血管肿瘤免疫组化概述
血管肿瘤诊断常用免疫组化指标有CD31、CD34、VIII因子、CD105、ERG、podoplanin(D2-40)、血栓调节蛋白(thrombomodulin,CD141)、Fli-1。表1. 血管肿瘤常用免疫组化标记

(点击可查看大图)
备注:
- Glut-1在血管瘤一般为阳性,但血管畸形、化脓性肉芽肿、肉芽组织中为阴性; 
- Dabska瘤,又称恶性血管内乳头状血管内皮瘤、淋巴管内乳头状血管内皮瘤。 
阳性表达模式:细胞膜/细胞质
推荐阳性质控组织:阑尾
 
CD31又称为血小板内皮细胞黏附分子-1(platelet endothelial cell adhesion molecule-1,PECAM-1),是一种跨膜糖蛋白,属于免疫球蛋白家族成员之一,正常情况下表达于内皮细胞连接和血小板、单核细胞、粒细胞、B淋巴细胞的表面。CD31是血管和血管肿瘤的敏感、且特异性标记。不过,某些罕见情况下,非血管性肿瘤也可出现CD31的低水平表达,如某些淋巴瘤、浆细胞瘤、朗格汉斯细胞肿瘤、平滑肌肉瘤、间皮瘤、胶质瘤;甚至少数癌中也可出现CD31的低水平表达,如原位及浸润性乳腺癌、甲状腺乳头状癌。阳性表达模式:细胞膜
推荐阳性质控组织:阑尾
CD34是一种细胞表面黏附糖蛋白,表达于髓系和淋巴系造血细胞前体(precursor hematopoietic cells)、部分间质干细胞、内皮细胞的表面,且表达于这类细胞来源的大量肿瘤中。因此,CD34是造血系统干细胞及间质干细胞的重要标记之一,也可标记急性髓系白血病中的髓母细胞。临床实践中,CD34广泛用于血管及血管肿瘤的标记,但其特异性不如CD31。CD34也是其他肿瘤的重要标记,如隆突性皮肤纤维肉瘤、GIST。不过,由于其表达谱系宽泛,因此必须结合其他特异性更强的标记联合应用。阳性表达模式:细胞质
推荐阳性质控组织:阑尾
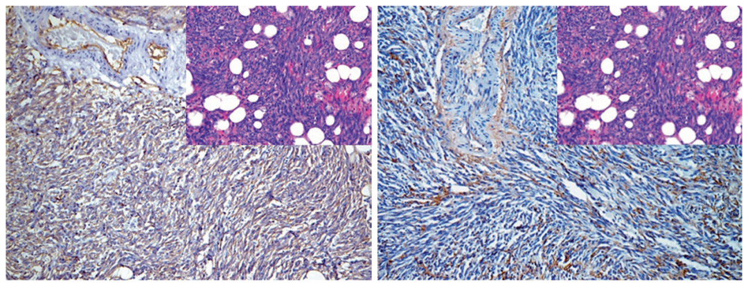
VIII因子是由三个亚基组成的糖蛋白复合体,各亚基的功能结合域分别对应结合血小板糖蛋白、胶原、肝素。VIII因子是由血管内皮细胞核巨核细胞合成的,储存于内皮细胞的Weibel-Palade小体内。VIII因子是血管和血管肿瘤的特异性标记,且其表达程度和血管肿瘤的分化级别有关,低分化血管肿瘤(如血管肉瘤)中表达程度极低。
图1. 血管肉瘤中,CD34(左)呈弥漫阳性,VIII因子(右)在大部分肿瘤细胞呈阳性表达。
阳性表达模式:细胞膜/细胞质
推荐阳性质控组织:阑尾
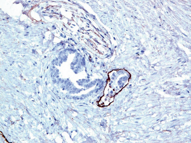
Podoplanin也称为D2-40,是一种I型跨膜黏液蛋白,表达于胎儿生殖细胞和某些成熟细胞的细胞膜,后者主要为淋巴管内皮细胞、间皮细胞。日常免疫组化检测中,该指标广泛用作标记淋巴管、淋巴管内皮来源肿瘤、间皮瘤;此外,也是精原细胞瘤的重要标记。不过,该指标的表达谱系比较宽泛,某些和前述肿瘤形态学相似的肿瘤也可出现该指标的表达,如平滑肌肉瘤、韧带样瘤、外周神经鞘瘤等,因此实际工作中必须注意加做其他更为特异的标记。
图2. 淋巴管中的内皮细胞表达D2-40,本例为癌性淋巴管炎(lymphangitic carcinomatosis)。不过,图中上方可见神经中的施万细胞也有阳性着色。
阳性表达模式:细胞核
推荐阳性质控组织:血管
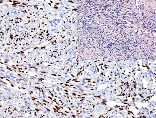
ERG是ETS家族转录因子之一,在前列腺章节已有描述。正常情况下,ERG表达于内皮细胞,与血管生成的调节、内皮细胞凋亡的调节有关,因此是内皮细胞肿瘤中极为敏感和特异的标记。
图3. 血管肉瘤,肿瘤细胞的细胞核强阳性表达ERG。
除内皮细胞肿瘤外,ERG还表达于部分不成熟的造血细胞。具有TMPRSS2-ERG易位的前列腺癌中,ERG也是阳性的。对于间叶性肿瘤来说,某些形态学类似血管性肿瘤的其他间叶性肿瘤有该指标的表达,具体如孤立性纤维性肿瘤、纤维性脑膜瘤、上皮样肉瘤。某些类型的淋巴瘤中,也有少量病例具有ERG的表达。
HHV-8是一种DNA病毒,是Kaposi肉瘤、原发渗出性淋巴瘤、多中心型Castleman病的致病因素。证实有潜伏核抗原,是Kaposi肉瘤的诊断标记之一。
图4. Kaposi肉瘤瘤细胞中,有HHV-8潜伏核抗原的表达。
迈迈推荐:“有时候,我们千辛万苦地染出了一张张片子,但染色结果却不甚理想,为什么?抗体不好?本期迈迈推荐以下抗体,让您更加轻松染出漂亮的片子。”
| 抗体名称 | 克隆号 | 阳性对照 | 细胞定位 | 
| CD31*
 | MX032 | 血管瘤、肝脏
 | 胞膜 | 
| CD34 | QBEnd/10 | 血管瘤、肝脏
 | 胞膜/胞质 | 
| D2-40 | D2-40 | 小肠组织、间皮瘤
 | 胞质/胞膜 | 
| ERG* | MXR004 | 血管肉瘤、前列腺癌
 | 胞核 | 
| HHV-8
 | 13B10
 | 卡波西肉瘤
 | 胞质/胞核 | 
更多信息,请详询:800-8581156或400-889-9853