
甲状腺肿瘤及甲状旁腺肿瘤诊断免疫组化概述
对于甲状腺肿瘤的免疫组化来说,第一时间应根据细胞来源考虑具体指标的选择。滤泡上皮来源的肿瘤可选择:Tg、TPO、TTF-1、PAX-8、galectin-3、HBME-1、CD56、Trop-2、CK19及其他CK;C细胞来源的肿瘤则应考虑CT、TTF-1、CEA及其他神经内分泌标记。
备注
表达差异主要在于甲状腺乳头状癌、良性乳头状增生、滤泡性肿瘤免疫组化鉴别;具体来说,CK19在甲状腺乳头状癌为阳性,在滤泡性肿瘤为阴性或弱阳性,但淋巴细胞性甲状腺炎中可能会有阳性表达;galectin-3在乳头状癌、滤泡癌为阳性,良性甲状腺组织为阴性;CD56在甲状腺乳头状癌为阴性,在良性甲状腺组织、乳头状增生、滤泡性肿瘤为阳性;p63在乳头状癌局灶阳性,在非甲状腺乳头状癌的其他病变均为阴性;Trop-2在90%以上的甲状腺乳头状癌为阳性,在滤泡性腺瘤和滤泡癌为阴性。
用MIB-1克隆进行检测时,可出现细胞膜和细胞质的着色方式,这是该肿瘤特征性的免疫组化着色表现。

图1. (左)正常甲状腺组织CD56阳性,而甲状腺乳头状癌则并不表达。(右)甲状腺乳头状癌CK19阳性,而正常甲状腺组织并不表达。
甲状旁腺肿瘤诊断常用免疫组化指标有PTH、Tg、TTF-1、PAX-8。

(点击可查看大图)
备注
甲状旁腺癌中为阴性;
嗜酸性甲状旁腺腺瘤中可能会阳性。
阳性表达模式:细胞质
推荐阳性质控组织:甲状腺组织
Tg是由甲状腺滤泡细胞合成的糖蛋白,是甲状腺素合成的原材料;因此Tg是甲状腺滤泡细胞及滤泡细胞来源肿瘤的特异性标记。除C细胞及相关肿瘤不表达该标记外,甲状腺间变性癌一般也不表达Tg。实际工作中,建议Tg联合TTF-1、Pax-8一起应用以鉴别肺癌和甲状腺癌。对于甲状腺滤泡细胞来说,TPO相对更为特异;同时,这一指标的表达和甲状腺滤泡上皮来源肿瘤的分化程度有关,在甲状腺低分化癌中可为阴性。阳性表达模式:细胞质
推荐阳性质控组织:阑尾
肺部章节中,对TTF-1已有详述。除表达于肺癌外,TTF-1还可表达于甲状腺组织及相应的癌:滤泡癌、乳头状癌、髓样癌均可出现TTF-1的强阳性表达,但甲状腺间变性癌一般为阴性。TTF-2是一种涉及Tg与TPO合成的核蛋白,表达于甲状腺滤泡细胞、相关的肿瘤、少量C细胞、垂体前叶、食管及气管黏膜、输精管。肺实质、胃肠道上皮、肝胰上皮及这些组织相应的肿瘤一般并不表达TTF-2。阳性表达模式:细胞膜/细胞质
推荐阳性质控组织:前列腺组织
滋养层细胞表面抗原-2(trophoblastic cell surface antigen 2,Trop-2)是一种跨膜糖蛋白,其功能为钙信号转导因子。细胞恶性转化过程中,Trop-2表达上调。多种类型的癌中可见该指标表达,如胃肠道癌、肺癌、泌尿生殖道癌、乳腺癌。对甲状腺肿瘤来说,90%以上的甲状腺乳头状癌表达Trop-2,而滤泡性腺瘤、滤泡癌一般并不表达。阳性表达模式:细胞膜
推荐阳性质控组织:神经母细胞瘤
Pax-8是一种转录因子,与胎儿脑部、眼睛、甲状腺组织、上尿路系统、Mullerian源性器官的发育有关。对于甲状腺肿瘤来说,90%以上的甲状腺滤泡癌及乳头状癌、大部分甲状腺低分化癌、50%以上的甲状腺间变性癌均表达该标记。肺腺癌及乳腺癌一般不表达Pax-8。
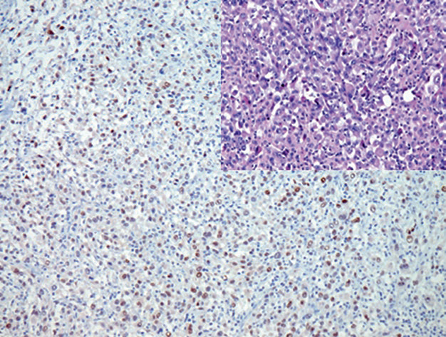
图2. 甲状腺间变性癌,细胞核表达Pax-8。
Galectin-3为半乳糖苷酶结合蛋白家族成员之一,组织恶性转化过程中其表达被激活,因此该指标阳性有助于多种癌的诊断:大部分甲状腺乳头状癌及滤泡癌、甲状旁腺癌、头颈部鳞状细胞癌、结直肠癌、肝细胞癌中均为阳性。Pax-8、GATA-3在甲状旁腺、甲状旁腺肿瘤中均为阳性,后者如腺瘤、癌等,且呈特征性的细胞核着色,因此可与其他甲状旁腺相关标记联合应用。当然,需要注意的是,甲状腺滤泡上皮及相关肿瘤也会表达Pax-8。
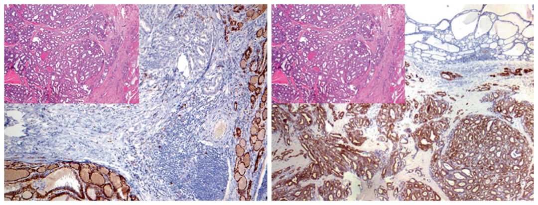
图3. 甲状旁腺腺瘤及受挤压的甲状旁腺均表达GATA-3(左)及Pax-8(右)。
这是一种表面糖蛋白,包括甲状腺乳头状癌在内,多种癌中均有表达。与其他标记联合应用,CD44v6可用于甲状腺乳头状癌与其他形态相似甲状腺病变的鉴别。
阳性表达模式:细胞质
推荐阳性质控组织:甲状腺组织/髓样癌
降钙素(Calcitonin,CT)是由C细胞合成的一种多肽,因此是C细胞及这类细胞来源肿瘤(即髓样癌)的特异性标记物,而甲状腺滤泡上皮来源的肿瘤不表达这一标记、而表达TTF-1。需要注意的是,有报道称部分神经内分泌肿瘤(如嗜铬细胞瘤)也表达CT,但这类肿瘤一般不表达TTF-1。阳性表达模式:细胞质
推荐阳性质控组织:甲状旁腺
甲状旁腺激素(parathormone,PTH)是由甲状旁腺主细胞合成并分泌的。PTH和CT对血清中钙和磷的水平发挥直接调控作用。针对PTH和相关肽的抗体是甲状旁腺肿瘤诊断的特异性标记。PTH还有助于异位甲状旁腺组织及相关肿瘤的识别,这种情况可出现于纵隔或胸腺内。
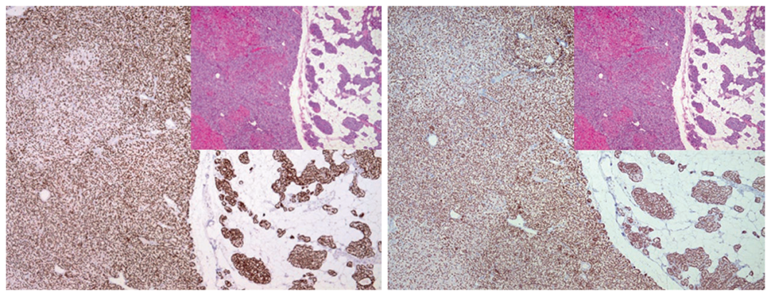
图4. 甲状旁腺腺瘤及正常甲状旁腺组织中,均为PTH阳性表达。
需要注意的是,PTH虽然由甲状旁腺的主细胞合成,但一般会迅速将其分泌出来,因此可能导致免疫组化假阴性。无分泌活性的透明细胞型甲状旁腺癌可能会类似转移性肾细胞癌或其他透明细胞癌。甲状腺及甲状旁腺肿瘤诊断中,免疫组化应在其他鉴别诊断标记基础上加入甲状腺素及甲状旁腺激素指标。甲状旁腺激素相关肽(parathyroid hormone-related peptide)是甲状旁腺激素家族成员之一,也与钙代谢有关、并调节软骨内成骨。针对这一激素的抗体在甲状旁腺细胞及甲状旁腺肿瘤为阳性表达,同时可见于部分其他恶性肿瘤,如乳腺癌、胆管癌、移行细胞癌,尤其低分化的癌种。该标记也可用于鉴别胆管癌和转移性结直肠腺癌。
迈迈推荐:“病理诊断做的好,免疫组化少不了!而选择使用高质量、性能优异稳定的抗体即成功了一半。”
抗体名称 | 克隆号 | 阳性对照 | 细胞定位 |
CD44V6* | MX072 | 宫颈癌、乳腺癌
| 胞膜 |
CT
| SP17 | 甲状腺组织、甲状腺髓样癌
| 胞质 |
Galectin-3* | MX060 | 甲状腺乳头状癌、肾脏 | 胞质/胞核
|
Pax-8*
| MX062 | 肾透明细胞癌、输卵管
| 胞核 |
PTH | MRQ-31 | 甲状旁腺瘤
| 胞膜/胞质
|
TTF-1*
| MX011 | 肺腺癌、甲状腺
| 胞核 |
更多信息,请详询:800-8581156或400-889-9853