
图1.高级别卵巢浆液性癌-突变型p53细胞核过表达

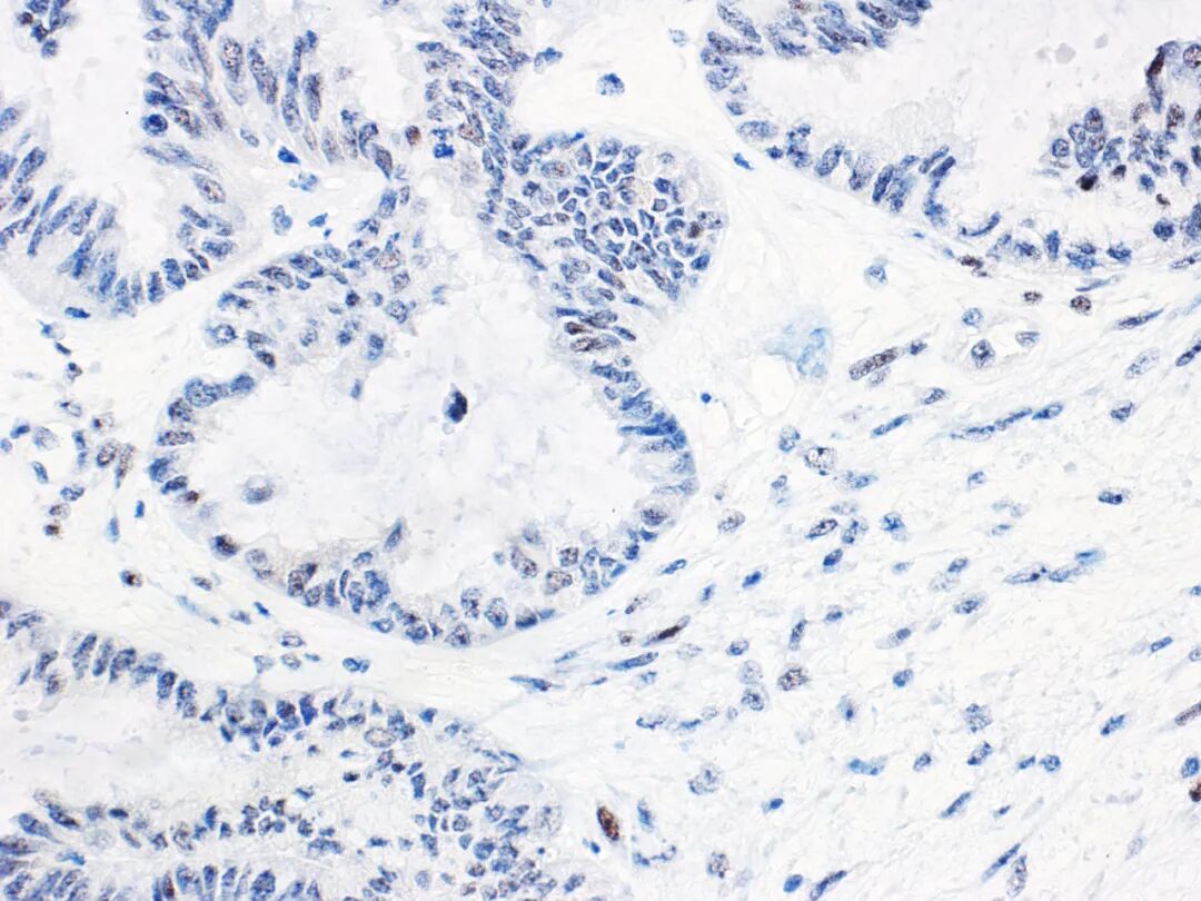
图2.低级别卵巢浆液性癌-野生型p53正常表达
低级别浆液性癌的免疫组化p53多表达为野生型。但有少数病例具有取得性Tp53基因突变的报道,这类病例极为罕见,因此出现p53的异常着色模式通常不诊断卵巢低级别浆液性癌。这点在小的活检病例诊断中尤其重要,因为有些高级别浆液性癌由于呈微乳头状结构、细胞核为中等程度异型性,可能会类似低级别浆液性癌。需要注意的是有约2%的输卵管、卵巢高级别浆液性癌会有Tp53基因突变而其终止密码子超出了正常时候的位置,导致产生无功能的p53蛋白。因此,即使免疫组化p53表达正常的浆液性肿瘤也可能会是卵巢高级别浆液性癌,所以还是要结合形态学并建议加做必要的分子检测。有多家组织研究证实p53异常表达与卵巢子宫内膜样癌生存时间缩短有关。在I/IIA期卵巢子宫内膜样癌患者中也有类似结果。分期较低的卵巢子宫内膜样癌中,p53异常表达是可靠、强有力的生存预后指标。免疫组化p53结果预测卵巢黏液性肿瘤(如图3所示)中Tp53基因突变情况的准确性也比较高。表明Tp53基因突变与卵巢黏液性交界性肿瘤演进相关。顺利获得免疫组化方法来对大量卵巢黏液性肿瘤中p53的情况进行评估,未发现其结果与预后有关。然而,少量黏液性交界性肿瘤中的免疫组化p53结果与死亡风险增加有关。尽管对于这类患者的治疗方面方案有限,但免疫组化p53正常表达提示临床表现不同寻常的黏液性交界性肿瘤(如肿瘤破裂者)出现进展的风险较低。
图3.卵巢浆黏液样癌-野生型p53正常表达
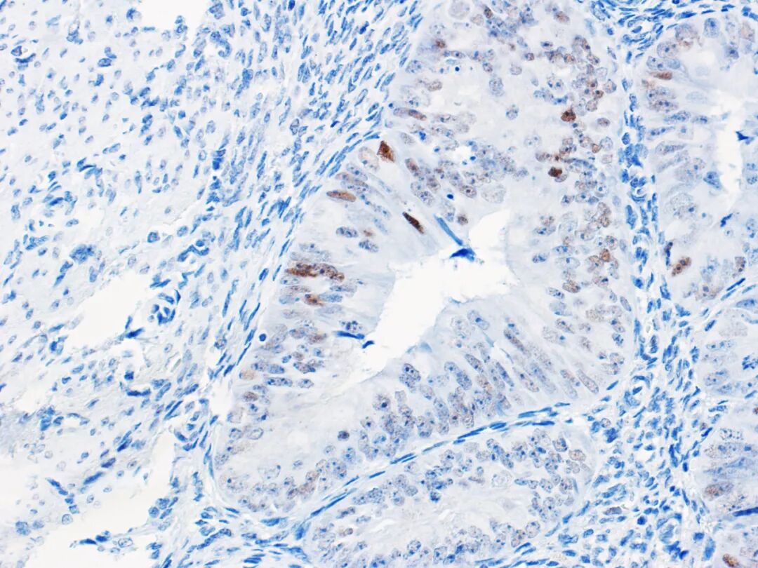
p53免疫组化可预测子宫内膜癌中Tp53基因突变情况(如图4、图5所示)。子宫内膜癌的异质性使大概5%的病例出现判读困难,且这部分病例多数是伴有POLE突变或MMR缺陷。
癌症基因图谱(The Cancer Genome Atlas,TCGA)结合结合全基因组测序基因特征(有无POLE基因超突变、MMR缺失、拷贝数异常等)等情况,TCGA提出将子宫内膜癌分为4类:①POLE超突变型、②MSI-H型(微卫星不稳定型)或错配修复系统缺陷型、③MSS(微卫星稳定性)或无特异性分子谱型或低拷贝数型和④p53突变型或高拷贝数型。
图4.子宫内膜癌-野生型p53正常表达

Tp53基因突变是高拷贝数型的特征。大量体细胞拷贝数异常是子宫内膜浆液性癌和被描述为“浆液样”的子宫内膜样癌的特征。研究发现,p53突变型的子宫内膜样癌3级的预后比子宫内膜样癌3级差,对化疗可能敏感。拷贝数高型子宫内膜癌并且Tp53基因突变可对应于 Bokhman描述的II型子宫内膜癌,而拷贝数低型子宫内膜癌对应于I型子宫内膜癌。POLE突变/突变型p53或MMR缺陷/突变型p53的子宫内膜癌患者的预后结果好于仅有Tp53基因突变的子宫内膜癌患者。p53 IHC现在在检测子宫内膜癌的高拷贝数型、浆液样分子亚型方面比测序更具有显著优势。外阴鳞状细胞癌有三种分子类型:HPV相关、HPV无关/Tp53基因突变、HPV无关/Tp53基因正常。精确评估p53情况对于HPV无关的外阴鳞状细胞癌分类非常关键。最近有研究表明,根据专门针对外阴鳞状细胞癌的p53免疫组化解读标准,其免疫组化结果可以准确预测Tp53基因突变状态。子宫间质性肿瘤发现有特异性基因易位或分子改变,具体如伴YWHAE-NUTM2A/B融合、ZC3H7B-BCOR融合、BCOR内部串联重复的高级别子宫内膜间质肉瘤,伴ALK重排的炎性肌纤维母细胞肿瘤,NTRK重排的梭形细胞肿瘤。尽管某些免疫组化可用于缩小鉴别诊断的范围,但这类肿瘤一般需分子检测证实。平滑肌肉瘤及子宫的多形性未分化肉瘤大部分都有Tp53基因突变。因此,免疫组化p53的作用就是筛选出无特异性异位、有Tp53基因突变的子宫间质肿瘤行进下一步分子检测。
参考文献
1.M Köbel, Piskorz AM, Lee S, et al. Optimized p53 immunohistochemistry is an accurate predictor of TP53 mutation in ovarian carcinoma[J]. Journal of Pathology Clinical Research, 2016, 2(4):247-258.
2.Köbel M, Kang EY. The Many Uses of p53 Immunohistochemistry in Gynecological Pathology: Proceedings of the ISGyP Companion Society Session at the 2020 USCAP Annual9 Meeting. Int J Gynecol Pathol. 2021;40(1):32-40.
3.Singh N, Piskorz A M, Bosse T, et al. p53 immunohistochemistry is an accurate surrogate for TP53 mutational analysis in endometrial carcinoma biopsies[J]. The Journal of Pathology, 2020, 250.